Menu
Online Referrals Contact Dr Peyman

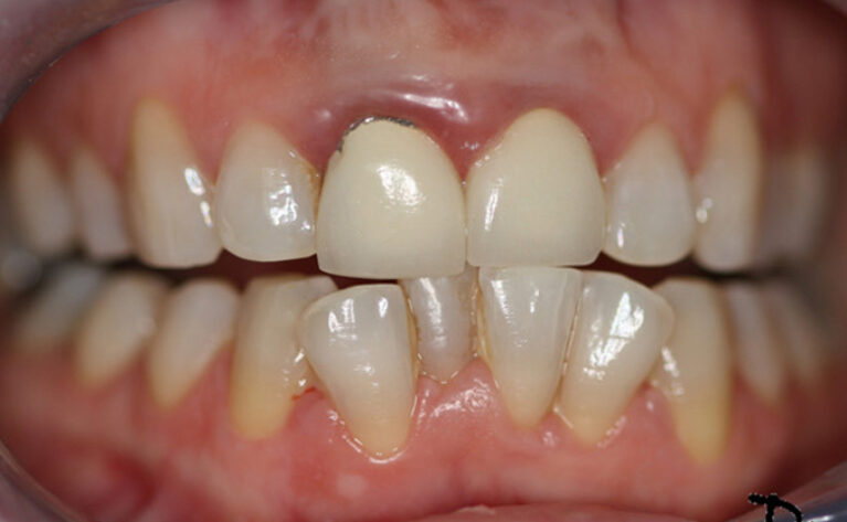
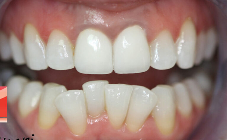
Case 2 – Cosmetic Dentistry

Case 2 - Cosmetic Dentistry

For more information regarding this treatment
Contact Dr Peyman
Back to Smile Gallery

Contact

right brush stroke gold plain shape

Cosmetic Dentistry

Read More

Porcelain Veneers

Read More

Composite Bonding

Read More

Teeth Whitening

Read More

Dental Implants

Read More

Facial Aesthetics

Read More

Cosmetic Dentistry

Read More

Porcelain Veneers

Read More

Composite Bonding

Read More

Teeth Whitening

Read More

Dental Implants

Read More

Facial Aesthetics

Read More

DrBK Clinic
(Reading)

Fabulous teaching clinic. Dr Bob Khanna is a legend, highly recommended for treatment. Brilliant educator also. Can't wait to come back
Z Sheikh
Z Sheikh
18:16 16 Nov 23
Amazing! I was recommended to come only to Dr Bob to correct TMJ after Invisalign misaligned my jaw. Injections made a huge difference & I am excited to see further improvement with the splint. Dr Bob & the team are simply the best! I couldn’t recommend them more! I wish I had known about the clinic sooner. 🙌🙌🙌
Samantha Spark (Sam)
Samantha Spark (Sam)
16:00 13 Sep 23
Dr Bob Khanna is a first class aesthetic practitioner with a meticulous eye for detail. The team are warm, welcoming and professional. Great results… highly recommend!
Grainne Anderson
Grainne Anderson
10:10 24 Aug 23
First time ever going to a clinic and i felt so cared for, i got botox in my shoulders for neck pain and the whole treatment was a really positive experience, i was really nervous but i felt trust in the dr and the assistant was really friendly and looked after me. Definitely would recommend to my friends
Isabelle Hudson
Isabelle Hudson
13:11 15 Aug 23
Very friendly! Went in as a model felt very comfortable and was in good hands at all times! He knows exactly how to please and watches over u at all times ! Perfect results 👌
Andrea Murray
Andrea Murray
12:27 26 Sep 23
Absolutely love Dr Bob khanna - a world expert with a huge heart who produces magnificent results every time !..well worth the 5 hour round trip !
Michelle Russell
Michelle Russell
12:04 08 Dec 23
Dr BK is so kind and good, My treatment went wrong elsewhere he fixed it, he is so good at what he does, I wish I found him first!
Jacqueline Payne
Jacqueline Payne
22:49 16 Dec 23
I have been twice since Dr Peyman Paykari started working in this clinic. I followed him from his previous clinic as I have been his patients for at least 15 years and I am always very happy with him. I strongly recommend him.
Salome Lopez
Salome Lopez
13:09 03 Jan 24
I’ve been to Dr Bk for various treatments over the years; I’ve had my lips and tear troughs done and I honestly wouldn’t go anywhere else! All of the staff at the clinic are always very friendly and put you at ease.My confidence in my appearance has shot up over the last few years and I can’t thank Dr BK enough! The transformation is incredible; I no longer look tired, my face looks refreshed, and as a result I don’t layer on my makeup to mask my insecurities anymore. I’m always amazed by the results.You know you are in safe hands with Dr Bob Khanna and all of the staff at the clinic!
Olivia
Olivia
17:33 22 Jan 23
Dr Khanna knows exactly what his customers need and make you feel very comfortable. I am so happy with the change, certainly far better in comparison to other aesthetic businesses in Reading.
Ash
Ash
14:42 05 Jul 24
Excellent course. Thoroughly enjoyed it Module 1 with Jade, Siobhan and the amazing Dr Bob Khanna
yusuf parker
yusuf parker
16:24 04 Oct 24
Amazing, so pleased with the results, Dr Bob was easy to communicate with and made me feel very comfortable.I would 100% recommend .The results far exceeded my expectations.Best fillers I have ever had.I had lost all of my myself confidence, due to previous over filled and misplaced fillers ... and Dr Bob has made me feel like my old self again.I'm relocating to Cornwall soon, but I will be travelling back to see him ... I would not trust any other clinic or Dr to give such outstanding care ...Most grateful .
jan Saunders
jan Saunders
23:28 08 Dec 24
Amazing!! So happy with my results. Peyman did an amazing job. Thank-you!
Teresa “Teresa A” Alder
Teresa “Teresa A” Alder
21:27 05 Dec 24
I recently returned early from a long-haul holiday to attend two appointments as a model. I was particularly interested in trying fillers after seeing impressive results on a few friends.The clinic came recommended by a friend who had minor complications as a model. She reassured me that the issues were being addressed and were not visible, which helped build my confidence. Before booking, I carefully reviewed all the provided materials and communicated with the clinic both in writing and over the phone. Feeling at ease, I decided it was worth cutting my holiday short.On the day of the training session, I overheard a conversation where a trainer advised a student about not injecting deeply enough on the model before me. While I’m not a doctor, I understand that improper technique can lead to filler migration, lumps, uneven results, or discoloration. Naturally, I became nervous and wanted to discuss potential risks.When I expressed my concerns, the doctor’s reaction was unexpected and dismissive. Instead of providing reassurance, he accused me of not reading the material and seemed surprised or irritated that I was anxious. He explained that models are essentially "guinea pigs" and that treatments in this capacity are experimental, which I understood to a degree. However, I still expected a level of professionalism and empathy. To add to my concerns, I was informed that if anything went wrong, I would be responsible for paying full price for corrective treatment at the main clinic. This response only heightened my unease.The conversation was handled privately, away from the trainees, but the outcome felt abrupt. I was told I wasn’t a suitable candidate for the day, and shortly after, the reception staff canceled all my appointments and processed a refund (which I am still waiting to receive). The entire experience felt unnecessarily harsh and unprofessional. Being nervous and asking questions about a procedure that directly affects one’s appearance is entirely reasonable.This experience left me questioning the clinic’s approach to patient care. If they handle “guinea pigs” this way, what would happen if something genuinely went wrong? It seems they only want models who are indifferent to potential outcomes, which is alarming.Bit horrified after a 5 hour roundtrip today, but maybe I dodged a bullet.
Niki Kovacs
Niki Kovacs
16:43 15 Jan 25
Great course! Learnt so much throughout the day and was really fun and hands on!
arusa A
arusa A
16:19 27 Jan 25
Amazing, so pleased with the results, Dr Bob was easy to communicate with and made me feel very comfortable.I would 100% recommend .The results far exceeded my expectations.Best fillers I have ever had.I had lost all of my myself confidence, due to previous over filled and misplaced fillers ... and Dr Bob has made me feel like my old self again.I'm relocating to Cornwall soon, but I will be travelling back to see him ... I would not trust any other clinic or Dr to give such outstanding care ...Most grateful .
jan Saunders
jan Saunders
19:40 03 Feb 25
Emerald Laser – Amazing Results! ⭐⭐⭐⭐⭐I had an incredible experience with Emerald Laser! The staff were professional, reassuring, and explained everything clearly. The treatment was completely pain-free, non-invasive, and required no downtime.I noticed visible inch loss after just a few sessions, especially in stubborn areas I’ve struggled with for years. The advanced technology delivers real, effortless results—I was skeptical at first, but now I’m a true believer!If you’re looking for a safe, effective way to sculpt your body, Emerald Laser is a game-changer! Highly recommend! 💚✨
Farah Ahmed
Farah Ahmed
10:50 03 Feb 25
Absolutely Thrilled with My Facial Threads – Instant Lift & Confidence Boost!I cannot express how incredibly happy I am with my facial thread treatment! From start to finish, the entire experience exceeded my expectations. The practitioner was not only highly skilled but also took the time to explain everything in detail, making me feel completely comfortable and confident in the process.The procedure itself was surprisingly quick and virtually painless, thanks to the expert hands of my provider. The results? Absolutely stunning! I instantly noticed a natural yet significant lift, with improved contour and firmness. My skin looks tighter, more youthful, and so refreshed—without looking overdone. The best part? The results continue to improve as collagen production kicks in!I feel like I’ve turned back the clock without the need for surgery. If you’re considering facial threads, don’t hesitate—this treatment is a total game-changer! 10/10 recommend!
lisa boore
lisa boore
17:13 07 Mar 25
I chose this clinic after some research. My expectations are surpassed. As well as being made to feel extremely comfortable the care and concern is honestly super. I'm receiving professional treatment delivered in a calm and friendly way. I booked a block of 10 sessions and received a very handsome discount. On top of all of this I was gifted a complementary facial for my birthday. Thank you.
Tilly C-S
Tilly C-S
19:20 28 Apr 25
I recently had facial aesthetic treatments including nose and chin filler, as well as masseter Botox, and I couldn’t be happier with the entire experience. From the moment I arrived, the reception team were incredibly helpful, welcoming, and efficient, which immediately put me at ease.As a naturally nervous patient, I was especially grateful for Dr Khanna’s nurse, Jade, who was warm, calming, and reassuring throughout the appointment. Her kind and professional manner made a real difference to my comfort and confidence on the day.Dr Khanna’s work is exceptional. He took the time to listen to my concerns, explain the procedures clearly, and I felt completely safe in his care. The results are subtle yet transformative, I still look like myself, just refreshed and more balanced. I truly appreciate the skill and precision involved in his approach.I would highly recommend Dr Khanna and his team to anyone considering facial aesthetic treatments, especially those who might be a bit nervous. You’ll be in very safe, talented hands.
L R
L R
15:53 29 Apr 25
I recently had my whole face transformed by Dr Khanna, and from the moment I walked in, I felt completely at ease. Lauren on reception was professional, knowledgeable, and incredibly attentive. Dr Khanna really took the time to understand the look I was going for and made sure I felt informed and comfortable every step of the way.My face looks so refreshed, I just feel over the moon. My profile as well as my face has been completely transformed, I left feeling much more confident and I don't have to use an Instagram filter anymore!If you’ve been considering facial fillers, I wholeheartedly recommend going for it, especially with the right professional.Thank you Dr Khanna.
J Parker
J Parker
15:52 29 Apr 25
I was recommended to see Professor Khanna to support me with my skin journey, I had been diagnosed with rosacea and wasn’t really getting the support from the consultants just creams to apply. Professor Khanna was amazing, he helped me to understand how my gut affected my skin and also recommended some treatments to help which really improved my skin. I’ve continued to see Professor Khanna for over 3 years now and I wouldn’t trust my skin with anyone else, he is best in class and has given me my confidence back to even go without make up.
Suzanne Swain
Suzanne Swain
17:21 09 Jul 25
I have had several treatments from DrBK Clinic and always have a great experience. The premises are modern and immaculate. The therapists are knowledgeable, professional, approachable and always make me feel relaxed. I am more than happy with my treatments - I have never looked so good. I can thoroughly recommend the clinic for anyone wanting a top class service with state-of-the art technologies, and outstanding results.
Linsey Evans
Linsey Evans
17:12 10 Nov 25
I’ve been having treatment with Dr Bob for several months, the staff are super friendly and Dr Bob always explains what he is doing and makes you feel really at ease. I am very happy and would highly recommend this friendly, highly skilled and state of the art dental practice.
Nicci Wise
Nicci Wise
08:00 11 Nov 25
Google Rating

Pearl Dental Care
(Sevenoaks)

My need for root canal treatment arose at very short notice & Karim Jaafary was able to see me at his practice within just 48 hours, providing me with immediate short-term pain relief. Throughout the following several visits for treatment, he was always able to give a clear explanation of the procedure & save the tooth. Having had root canal treatment elsewhere previously, I was very impressed with his thoroughness and attention to detail. In terms of costs, I was given a clear estimate of the costs involved from the outset & these were highly competitive. His staff are friendly & welcomming & I have no hesitation in recommending Pearl to others
Barry Aling
Barry Aling
11:21 08 Jan 23
Amazing service 11/10. Would reccomend. people are super friendly and make you feel as if you've been friends for years. Amazing results as well, rebuilt my tooth and can't tell the difference looks great.
John Sanyahumbi
John Sanyahumbi
11:41 25 Mar 23
We went on a hiking trip through England and my tooth caused trouble on a Saturday. The team of pearl Dental care was without any doubt the most nicest Dentist crew I have ever met. Easy to get an appointment, helpful all along the way and super polite before and after the procedure. Thank you very much
Marco Heinemann
Marco Heinemann
15:53 09 Jul 22
Although we were a little worried about the small added journey (I don't like driving) we decided to transfer to Pearl Dental following our wonderful dentist Simon Moore. One of the best decisions we have made. Simon is his usual happy, friendly dentist who is very good at looking after our teeth, he puts everyone at ease making a visit to the dentist fun (if that's possible).We were so pleased to see that Ann had also become part of the team, lovely to have familiar faces around.The added bonus is that everyone at Pearl Dental are very professional a friendly team who I cannot recommend highly enough.
Linda Honey
Linda Honey
14:24 27 Aug 19
Out whole family (three generations) have recently transferred to Pearl Dental in order to stay with Simon Moore. He has been our Dentist for over 30 years and we would not want to change to anyone else. He is approachable, highly skilled and informative, and has the most amazing sense of humour that puts everyone at ease. He is amazing with children (and at sketching to put them at ease!!). I was slightly nervous about moving to a new practice after all these years, but I need not have worried. The whole team at Pearl Dental are highly professional and completely welcoming.
Stephanie Graves
Stephanie Graves
21:09 24 Aug 19
Like many others I have recently transferred to Pearl Dental from a previous practice as I couldn't imagine having any dentist other than Simon Moore. Simon has been my dentist for over 30 years and has always given me first class dental care. He is always so friendly, calm and approachable and you never feel rushed. He always explains thoroughly what he is doing and is brilliant at making you feel at ease while you're there. I have had several dental emergencies over the years and he has always been so helpful in fitting me in, even seeing me on a Sunday on one occasion!The whole environment at Pearl Dental is great, the staff are all very friendly and professional and I am so pleased to see that Anne has moved there as well, wouldn't be the same without her! I thoroughly recommend Pearl Dental Care and the onsite parking is an added bonus too.
Judith Waterworth
Judith Waterworth
12:18 14 Sep 19
I was referred to Karim and the dental practice by dentist for a root canal. I was nervous and anxious about it, but Karim and the staff made me feel comfortable and at ease from the moment I walked through the door. Karim was clear about the procedure, taking the time to explain what was going to happen and transparent about the price. I hope I don't have to have a root canal on the future but if I do ill definitely come back here
Lauren S
Lauren S
11:41 09 Mar 24
Fantastic. Karim and Rose and the wider team are kind and patient and every time I visit I am reassured to receive the best possible care. I was referred to Karim for complex treatment and I'm grateful to benefit from his extensive skills and experience. Highly recommended.
Andrew Cusack
Andrew Cusack
09:11 07 Sep 24
I was referred for root canal assessment and procedures by another dentist. I have received first class treatment at every appointment along the way. Karim is extremely caring, very thorough and a true professional in every sense. I had three root canal treatments including draining and relieving a very painful abscess in one tooth. I am extremely grateful to Karim and would recommend him without hesitation. I never felt any pain or discomfort at all during my treatments. It was money very well spent and worth every pound.
Pauline Davis
Pauline Davis
12:57 23 Sep 24
I would like to express my gratitude for the speed and quality of treatment provided to my son following his accident. We had complete confidence in the suggested treatment plan - explained thoroughly at each stage - and his teeth have been reconstructed to a very high standard. The level of care and professionalism shown by the whole team at Pearl Dental Care is remarkable. Thank you.
J Molyneux
J Molyneux
17:32 24 Sep 24
I had a root canal that went wrong and I was left with half a tooth. My dentist referred me to Karim to finish off the root canal. He saw me straight away and he was marvellous and didn’t hurt me at all. The receptionist and dental nurse were lovely. The next day no pain at all. I thoroughly recommend this practice. Thank you Karim
Jules Penn
Jules Penn
09:13 19 Oct 24
Lou is just simply superb. I’ll be 50 next year and this is the first time I feel I’ve been to a dentist who is so knowledgeable and personable. I’ve been armed with the information I need to look after my pearly whites properly at long last! Thank you Lou 🙏😊
Sam Anderson OFEX
Sam Anderson OFEX
11:28 22 Nov 24
I can’t say enough about the exceptional care I received at Pearl Dental Care, Sevenoaks. From the moment I walked in, the Rose at the front office made me feel comfortable and valued. The office is clean, modern, and inviting, creating a relaxing atmosphere.Dr. Karim Jaafary was incredibly professional, thorough, and genuinely cared about my concerns. They took the time to explain every step of the process, ensuring I felt informed and confident in my treatment plan. Their attention to detail and expertise are unmatched, and I could tell they were passionate about providing top-notch care.The entire team worked seamlessly, and I never felt rushed or overlooked. Whether it was a routine cleaning, orthodontic consultation, or a more complex procedure, every visit was an outstanding experience.I highly recommend Pearl Dental Care at Sevenoaks to anyone looking for compassionate, skilled, and exceptional dental care. They truly go above and beyond!
Anshu Dhawan
Anshu Dhawan
12:44 16 Dec 24
Recently, I had a bit of a dental emergency. To my great relief, Karim was able to accommodate me at a short notice and resolve the issue in time to enjoy my Christmas break. I will always remain grateful to him and the Pearl’s super-friendly staff. This small practice will remain the first call for my dental treatment. Highly recommended!
Natalia Galkova
Natalia Galkova
12:53 21 Dec 24
I was referred to Pearl Dental Care in 2023 and have since had 2 root canal treatments with Dr Karim. The care has been excellent from Karim, as well as the lovely Rose and the dental nurses. I have also seen Dr Peyman and Dr Melissa, who have also both been brilliant. Highly recommend. Thanks again, everyone, at Pearl Dental Care.
Jess EVERS
Jess EVERS
14:25 21 Dec 24
I was referred to Karim by my dentist to investigate a cracked tooth and root canal treatment. I was really nervous, and he was very kind and gentle, even getting me a cold towel to put on my pulse points to calm me down. In the end, there was nothing to be frightened of - it was totally pain-free, and Karim and his team were so kind and friendly. I would totally recommend Karim and his team.
Karen Hollands
Karen Hollands
11:46 11 Feb 25
Long review warning. But if you are like me and scared of the dentist but also want to ensure you have the best care, this is worth the read.My original dentist stopped practising in the UK. I was recommended here by a place that was recommended by my partner.Origionally I called thinking I had a huge cavity in a tooth, Rose had me on the phone with Karim who is the head dentist, now Karim had me booked in a few hours later, I turned up, he looked at it and I'd chipped a filling and was just being a little dramatic. He didn't charge me for this and I didn't know him before. Also, in fairness, I was awful on my first visit. But Karim respected my wishes but also did his job by saying I needed a checkup, and he said he doesn't care where I do this, but I should do this. Showing me he only cares about giving a good service. There was no pressure to book in again. He also proved me wrong about my own teeth, I was told I had a root canal on a tooth, he looked and said he wasn't confident in this statement and offered to take an xray and confirm. Needless to say, I was told incorrectly. I couldn't refute an x-ray. Further building my trust in his integrity and skills.The next day I booked in for a check up and was booked in with Dr Peyman, when I arrived for this appointment Dr Peyman done a full examination and took xrays, he found a few cavities and was honest about their severity, showing me the xrays and detailing the areas of concern showing me how to read my own xrays. He told me that I needed to improve my brushing, and as before I was given proof, he scrapped some plaque off my tooth and showed me, and used the mirror to show me other areas.There was a small cavity found. One he couldn't do anything with, it may go away or stay the same it's very small, I asked if it could just be drilled and filled. As this wouldn't benefit me, Dr. Peyman said he wouldn't be happy to do so. Once again, showing this isn't about money. I was recommended to use a spesific mouthwash to aid in my issues.So I booked in with Lou the Hygienist, Lou asked me a lot of questions (be honest, she'll know if you're not forthcoming) she cleaned up my teeth and explained what I was doing wrong, told me and most importantly showed me how to rectify these issues, she made a few recommendations that I buy a specific brush and what toothpaste will suit my needs the best, she then gave me a way to get a discount on the aforementioned brush which was really nice. I asked really silly questions, and the answers were very respectful and honest. There are very few hygienist that will do this for you, before I was told buy an electric toothbrush and that was all. This time I was shown the correct techniques.Today, writing this review, I have been in to have about 80% of my fillings done with DR Peyman. Not even a joke here. I know the fillings were done. I could see it happening and hear the drill on my teeth. But I can't find them with my tongue like the others I've had done. He's a perfectionist. I couldn't do the last one. I was a touch fatigued, and when I asked to stop, we did. Constantly checking, I was ok. When I said I could feel the cold on my tooth, I was given more anaesthetic as it was wearing off.I am booked in again to do the final one.Is here the cheapest? Likely not, but the quality of the work to me, I feel like the quality of the work has been outstanding. I started off as super nervous. Everyone was there to help me and I've now become really comfortable with them. The two dental nurses I have met are Pria ( I hope I have spelt her name correctly) and Kelly, and both of them are lovely and very good at their jobs.The whole team plays their part amazingly. They'll be 100% honest with you and supply you with the proof you need to support their statements.In short 5 stars is not enough. If you want very good work done on your teeth, then go and see them. I'm a private patient and I do not regret choosing these guys.I hope the team never changes. They are so good I travel from Wimbeldon to see them.
MR Pearce
MR Pearce
13:39 13 May 25
This is a second review from me. I'm posting this one as an end of initial treatment plan review. I came by today to see Dr. Peyman again. Hat's off to the guy, he's very good at his job. I was very pleased with the work done. Although I was pleased with the work, I hope to not have to see him for a filling again. The experience was as pleasant as it could have been, zero pain or discomfort but at the end of the day a filling isn't going to be good news. Now, I have been given all the tools I need to avoid cavities. Let's hope I only have checkups for a long time.Again if you believe in you get what you pay for. Then 100% go here. In the long run it doesn't break the bank their prices. Also for the level of customer service I got, well very happy. Money well spent in my opinion. I shall be a patient here for a long time.Karim, thank you for getting me started on the right path.
Easily Offensive
Easily Offensive
15:05 03 Jun 25
Google Rating

Thayer Street Dental
(London)

I am very happy with all the treatments I have at Thayer Street Dental Centre. Everything goes smoothly from appointment to treatment. The receptionist, Neelam, is professional kind and efficient. She went the extra mile and called me to fit me in sooner as a customer cancelled their appointment. The dentists are very professional and gentle, they explain the procedures and know how to put you at ease. I highly recommend Thayer Street Dental Centre.
Isabelle Savini
Isabelle Savini
17:30 04 Jul 23
I’ve been a patient for over 20 years and every single interaction with staff continues be professional, kind and caring . I’d like to comment that Neelam is exceptional at her job, going beyond the call of duty to meet patients needs .Tim is a master in his field and his team always provide reassurance and exceptional treatment . Thank you for services .
Daniel Munns
Daniel Munns
14:20 03 Oct 23
As a retired clinician , with a lifetime of terrible dental experiences, I’ve had more anxiety visiting a dentist than for any of the dangerous medical interventions I’ve had. Well, since yesterday all that has changed!All due to the kind help of Tim Sunnucks, and his reception staff , arranging to see me at short notice, for an appointment for toothache before going on holiday .I have never before experienced the unhurried attention of taking my complex medical history into consideration, explaining decision considerations and keeping me calm and reassured throughout.I felt I was walking on air afterwards and had a spring to my steps.With absolutely no hesitation will I be changing dentists and travel to London from the furthest corner of Kent in future for my dental care.
Christine Reckling
Christine Reckling
10:00 17 Aug 23
I am a patient of Dr Jonathan Wu. I would like to express my gratitude to such a Doctor like Dr Wu - very professional, careful, kind. He explains all the details of the process and is not afraid of making very important recommendations. He is thinking over his patients. From professional point of view - his fillings are durable and solid, the treatment itself is painless. Thank you, Jonathan.
Serge Larkin
Serge Larkin
16:57 02 Jul 23
Came in as a crown had come off. Superb service. Very friendly reception, Neelam. Super efficient dentist, Dr Wu. Perfect painless work.Highly recommended
John Mcluskie
John Mcluskie
09:41 01 Nov 23
I discovered Dentist Jonathan, when I first broke a tooth many years ago. I'd never use anyone else now, he's so calming, considerate, and his workmanship is to the highest standard. Highly Recommended 11/10
Nigel Rayment
Nigel Rayment
12:38 12 Dec 23
Tim has been incredibly gentle, efficient and flexible. I highly recommend Thayer practice. Many thanks to the team for making the experience so enjoyable considering!
Audrey Manes
Audrey Manes
16:16 11 Dec 23
Every visit to Thayer Street Dental leaves me consistently impressed with their exceptional team. Dr. Peyman Paykari's attention to detail and attentive approach during my treatment showcase a commitment to high-quality dental care. For anyone in search of a dentist who combines expertise with genuine concern, I highly recommend Thayer Street Dental.
Max Yoward
Max Yoward
11:53 14 Dec 23
I'm extremely satisfied with the care I receive from the receptionists and dentist. The receptionists, both Neelam and Migle worked diligently from scheduling appointments to the actual treatments.The dentist Yulinda is highly skilled, gentle, and adept at explaining procedures.They made the overall experience amazing. Many thanks.
Daniel Fernando Melo
Daniel Fernando Melo
11:48 18 Dec 23
I was extremely impressed by the care and attention of all of the staff at this practice. I had a dental emergency and despite this not being my main Bupa practice, they were able to quickly book me in and attend to me. I cannot fault the service!
Emma Steverson
Emma Steverson
17:18 18 Dec 23
After my local Bupa Dental practice closed, my family of 6 chose to be transferred to Thayer St. My anxiety with establishing a new relationship with this practice was alleviated immediately upon entry when I saw a familiar face. Neelam, the administrator greeted me warmly and she managed to arrange all the appointments for myself and my 4 sons. She’s a true professional with a caring disposition. Likewise, I found the practitioners’ chairside manner reassuring and thorough.
Lisa Giles
Lisa Giles
11:09 03 Jan 24
The clinic is amazing, the receptionists are so welcoming and kind and the environment is so clean and beautiful. The doctor Yulinda is very professional and does nice work. I really recommend it!
Jaqueline Grignac
Jaqueline Grignac
16:27 24 Jan 24
Fantastic service provided by Dr. Jonathan Wu and Neelam. Easy to get an appointment and verr professional team. I had a thorough checkup and was prescribed a night guard (which was ready for pickup the next day).Many thanks to the team.Jenny Mueller
Jennilene Torres
Jennilene Torres
17:45 30 Jan 24
What a perfect and wonderful service I had today here at Thayer Street Dental Centre. Jinan Faraday provided the best service I ever had here in London, excellent teeth cleaning, I strongly recommend. I’ll never forget that and I’ll def come back!
Leo Draghi
Leo Draghi
15:49 03 Feb 24
Their level of friendliness and expertise makes you desire to become their patient.I am genuinely impressed by JINAN, the Dental Hygienist. I was lucky enough to have her treatment twice and I barely realised having my teeth BEING cleaned. She is exactly the opposite of the common stereotype of 'having an appointment with the hygienist'.Also, a while back I had the honour of having my wisdom teeth taken off by DR LOUIS MCARDLE, who's is simply a guarantee (he is also quite funny).Moreover, it definitely worth mentioning:• Migle• Neelan• Lizzy• DR Patel• DR Wu• RalucaThank you for your consistent support 🙏
Francesco Magagni
Francesco Magagni
12:43 20 Feb 24
After 30 years of being with the same dentist, he decided to retire during the pandemic.This was a huge blow to me and very stressful. Luckily I found Tim Sunnocks who was recommended to me and I am so grateful to have found him. His expertise and amazing skills coupled with his caring, kind and gentle approach has made me feel very reassured. He has a fantastic team around him too who are also highly skilled, welcoming and reassuring. Maria has been amazing with her procedures in reviewing my gums. Jinan is the best dental hygenist I have ever encountered and last but not least Neelam at reception is always welcoming with a lovely smile who gently never lets me forget an appointment!The best team. Thank you so much for your continued care. Yasmin Rafiq
Yasmin Rafiq
Yasmin Rafiq
18:47 25 Mar 24
I had a fantastic experience at this dental clinic thanks to Neelam, Jon, and Tim. When I called early in the morning with an emergency, Neelam promptly scheduled me for an immediate appointment, allowing me to be seen very quickly.
Charlie Naylor
Charlie Naylor
08:05 22 Mar 24
My wisdom tooth extraction after I got an immediate emergency appointment for the initial inflammation was done so efficiently. The aftercare was great, superb communication and staff super friendly and caring.
Vanessa Bauer
Vanessa Bauer
17:30 11 Apr 24
I was very apprehensive about getting my wisdom tooth 🦷 removed and is very glad to be referred to Dr Louis McArdle. He is very experienced and had made the surgery seamlessly easy. I am so very grateful 🥲Neelam from the practise was also very helpful, answering every annoying pre- surgery queries promptly:)I feel very well taken care of in the practise and will certainly recommend for wisdom tooth 🦷 removal !Thank you all so much for making such a daunting task a pleasant experience :)E
London Little
London Little
12:46 25 Apr 24
Always a pleasant experience. Dr Patel and Dr Sunnuck and their staff are prompt, friendly, and most importantly really good at what they do. But it all starts and ends with Neelam, who greets you with a laugh and a smile and makes you forget you are at the dentist! And she is nothing short of a miracle worker when it comes to slotting you in for appointments, especially when you are set to see 2 different doctors and a hygienist b2b2b and then request a date/time change the week of your bookings!
Derek Wilson
Derek Wilson
07:05 10 May 24
I have been under Dr. Yulinda Jong’s care for nearly 8 years, and she is truly one of the finest dentists in town! Yulinda not only listens attentively, but also devises a personalised plan to help me achieve the exact results I desire. She consistently goes above and beyond. Whether for routine check-ups, composite bonding, or a range of other treatments, I couldn't have asked for a better dentist. The reception team is the icing on the cake; they are all exceptional. Neelam and the team are incredibly caring and attentive, consistently delivering outstanding service. My experiences at the Thayer Street Dental Centre have been nothing short of exceptional. Thank you, and I wholeheartedly recommend them!
Karmen Cheung
Karmen Cheung
07:18 22 May 24
Excellent Dental Practice! Wonderful team with friendly, helpful receptionists Neelan and Migle, Jinan the dental hygienist who does an amazing job at cleaning my teeth and doctor Yulinda who is very professional, highly skilled and gentle. I am so happy a friend recommended the Thayer Street Dental Practice to me!
Mariëtte Willame-Sinke
Mariëtte Willame-Sinke
15:03 17 May 24
Have just had a very good and very professional experience at Thayer Street Dental Practice. Neelam and all the receptionists are incredibly helpful, Jonathan was incredibly good at solving the issue and finally Aga, the hygienist, was excellent and really helped with advice and prevention.
Rich Doherty
Rich Doherty
14:54 31 May 24
I've had consistently excellent experiences with the Thayer Street Dental Group. From the moment I walk in, I am greeted warmly by the receptionists, especially Neelam, who always goes above and beyond to ensure a smooth process.The dentists at Thayer Street Dental Group are top-notch, especially Dr Peyman Pakyari. His expertise and gentle approach make every visit comfortable. The hygienists are thorough and attentive, ensuring that my dental health is always in good hands.I highly recommend Thayer Street Dental Group to anyone seeking a professional, friendly, and efficient dental practice. They truly set the standard for exceptional dental care. 🙂🦷🪥
Hayley Holt
Hayley Holt
08:45 13 Jun 24
Today I saw Tim Sunnuck for a root canal filling.It's rare that I totally trust professional services - I've had some bad experiences - but everything at Thayer St is well organised and the dental professionals are excellent. So, I had a pain free and easy appt with friendly staff, a skilled dentist, and absolutely no bad after effects after the treatment.I so much appreciate the expertise at Thayer St and the confidence it gives me to enjoy the procedures instead of feeling ill at ease.
Jeanette Clarke
Jeanette Clarke
15:37 07 Jun 24
I am writing this review specifically to commend Neelam, the receptionist at your dental clinic. As a business owner myself, I understand the importance of exceptional customer service, and Neelam epitomizes this perfectly. She is incredibly well-organized, always remembers who I am, and pays attention to even the smallest details related to my treatment. Her consistency in customer service is exemplary.Having experienced disorganization and appointment mix-ups at other places in the past, Neelam stands out as a true asset to your business. She ensures that my visits are always smooth and meticulously organized. I am truly grateful to her and wanted to extend a big thank you for her dedication and professionalism.
Shireen Forster
Shireen Forster
11:01 17 Jul 24
I have had a lot of restorative treatment over the last year under the excellent care of Tim Sunnacks. I would like to thank Tim and the Thayer street team for their excellent care. Everyone is friendly and professional. I would also like to thank Neelam who takes time to always check on my wellbeing before and after treatments. She really is a superstar!
Louise Fox
Louise Fox
07:50 18 Jul 24
I had an exceptional experience at Thayer Street Dental Centre with Dr. Peyman Pakyari. From start to finish, the care I received was outstanding. Dr. Pakyari is amazing—his caring and gentle approach instantly put me at ease. He is incredibly knowledgeable and took the time to explain every step of my treatment, ensuring I felt comfortable and informed.So happy he is in Marylebone now.
maryam dadkhah
maryam dadkhah
11:21 18 Jul 24
Thank you Thayer Street Dental!The receptionist we very accommodating, kind and compassionate! I saw Dr. Peyman related to pain post a deep filling I'd received in another BUPA Marylebone clinic. He reassured me that all would be well. I appreciate his calm and professional nature!
Helene Ganer
Helene Ganer
08:39 25 Jul 24
I couldn’t be happier with the service and professionalism at Thayer Street Dental Centre. Neelam is always there at reception to greet me with a smile and Jonathan is an artist when it comes to cosmetic dentistry. Would very much recommend. ⭐️⭐️⭐️⭐️⭐️
Darren Law
Darren Law
13:59 30 Jul 24
Dr Wu has given my family outstanding dental treatment for over 15 years. He truly cares about his clients and has achieved incredible results for all of our smiles! I would not hesitate to recommend Thayer Street dental centre.
Katie Kean
Katie Kean
14:13 01 Oct 24
I am extremely grateful to be treated by Dr. Yulinda Jong. Her high standards not only met but exceeded all my expectations, both medically and aesthetically. She is experienced, talented, and meticulous—I’ve never been disappointed. Truly one of the best practitioners I’ve encountered; I couldn’t be happier. A special mention to her wonderful team, who are always accommodating when scheduling appointments.
Alex “Alex” Bouchet
Alex “Alex” Bouchet
13:58 03 Oct 24
I have dental anxiety and complex dental issues since a childhood dental operation elsewhere went wrong. This is a London dental centre i trust. Neelam is a wonderful receptionist, she is very professional with bookings and considerate. My dentist there Dr. Peyman is very patient with my anxiety. He is an excellent dentist.
Ali King Yoga
Ali King Yoga
10:27 25 Sep 24
My wife and I both had a fantastic experience at Thayer Street Dental Care! From the moment we arrived, Migle was incredibly welcoming and helpful. She made sure everything was smooth for both of us and was so kind in answering all our questions.The doctors were equally impressive, making us both feel comfortable and well cared for throughout the entire visit. It’s rare to find such a combination of excellent service and professionalism, and we both left feeling really satisfied with our treatments. We highly recommend this clinic to anyone looking for exceptional dental care!
Valentin Carlogea
Valentin Carlogea
17:47 12 Oct 24
I broke my back tooth and desperately needed an appointment before I traveled back to Hong Kong . Dr Tim and Neelam did everythingin their power to fit me in for an appointment. I’m so happy with Dr Tim’s amazing dental work and his kind bedside manner. Neelam the practice manager is so kind and helpful too ! Thank you so much Thayer street dental !
NP Melwani
NP Melwani
08:54 07 Oct 24
This was my first time at Thayer Street dental. Peyman has replaced my broken filling very quickly and with minimum hassle while explaining the risks of the procedure. The receptionist was very helpful in figuring out how to claim for the procedure via BUPA. highly recommended
Barbarry Scardan
Barbarry Scardan
15:55 28 Oct 24
I could not recommend Thayer Street more highly.I have been to Thayer Street for two separate wisdom tooth removals. I was incredibly anxious ahead of my first visit following a traumatic wisdom tooth experience elsewhere prior to this.Louis McArdle was both empathetic and patient with me and I had a painless experience and quick recovery. I completely trusted Louis following this experience so knew exactly where to go when I needed another one out. He is a fantastic and skilled oral surgeon and I would recommend him to anyone.The receptionists are always friendly and professional and Neelam did her absolute best to schedule me an appointment promptly so I could be seen ahead of an upcoming trip.An amazing team at Thayer Street - thank you!
JJK K
JJK K
10:56 01 Nov 24
The best Dental Centre I have ever visited in Uk, administration is very organized. Recently I visited a good dentist who’s name is Dr.Jonathan , the doctor know his job. Yesterday when I broke my retainer, Dr.Jonathan fixed my retainer for 10 min . I’m very happy that I visited this Dental Centre
Beket Tursyn
Beket Tursyn
10:44 31 Oct 24
The entire family have been going there for a couple of years; have always found the dentists extremely good with a wide range of specialities and availability at difficult holiday times when teeth problems always seem to crop up :). The receptionists, especially Neelam and Migle have taken time to get to know the family and always ask about them.
Varun Malhotra
Varun Malhotra
17:24 02 Nov 24
Dr McArdle is a genius! He managed to perform wisdom tooth extraction in 5 min and with no pain at all!!!Jokes apart he is very professional and has amazing hands.Reception was extremely helpful as we needed to fit everything very quickly and they were amazing doing their best.Quite pricey, but it’s totally worth it…
Alia
Alia
15:50 11 Dec 24
I had an amazing GBT dental hygienist appointment with Agnieszka Lamb, and I couldn’t be happier with the experience. Aga was absolutely wonderful—so gentle, caring, and incredibly informative. She explained everything about oral health in a way that was easy to understand and made me feel completely at ease. Her technique is flawless—I barely felt a thing, and I almost fell asleep because it was so relaxing! Aga is truly an outstanding hygienist, and I highly recommend her for dental hygiene appointments.The experience was made even better by Neelam at reception. She is amazing—always on top of appointments and ensures everything runs smoothly. She really goes the extra mile to make your dental experience exceptional.It’s such a pleasure to be back at this practice, where every clinician treats you like a member of their family. I can’t recommend them enough!
Giotoiu Raluca
Giotoiu Raluca
12:40 24 Jan 25
I recently went through a tooth extraction with the clinic where I received care and treatment in a highly professional manner. The extraction expert and dentist teams are skilled at what they do and reception team, particularly Neelam, plays another key role in following up with patients post operation and providing support at their best. It has been a pleasant experience despite the tooth pain that you cannot get away with easily.
RogerYatu Li
RogerYatu Li
11:38 21 Jan 25
I am a long term client of the Thayer Street Dental Centre. and I think I found a place to care of my teeth for all my life. First of all the clinic is full of kind and nice specialists - all of them are the real professionals - doctors, nurses, assistants at the reception desk. Doctors are very helpful, resultative and careful. The specialists at the reception desk help the client to resolve some very difficult issues with insurer, for example; they are very helpful in explaining some complex questions and finding solutions. I would like to mark the lady by name Neelam Mistry, who helped me a lot to organize the correct process with the insurer. Thank you to all of them.
Sergey Larkin
Sergey Larkin
11:36 08 Feb 25
Really great service, friendly staff and, most importantly, the best dental treatment I have ever had. The work that I needed to have done was really complicated and I was very nervous about it. Team communication is excellent and we were able to find solutions with input from everybody. I am so happy with the results - they are literally life changing.
Andy Holroyd
Andy Holroyd
14:39 18 Mar 25
Fantastic dental practice; I cannot recommend them enough. The practitioners are extremely knowledgeable, attentive to detail, and empathetic. The receptionist team is very helpful and friendly. I’ve been a regular client of Dr. Jonathan Wu (dentist) and Dr. Manjit Sandhu (hygienist) for over two years. Thank you so much for keeping my teeth healthy!
Anastasia Sazonova
Anastasia Sazonova
23:49 17 Mar 25
I’ve been seeing Jinan for a deep clean since last June and she is my favourite hygienist ever because she is very gentle, effective and kind! I’ve suffered from bleeding gums issue for years and tried many options, however only Jinan managed to help me and now I have much healthier gums! Recommend Jinan to anyone and especially those who are nervous as Jinan is very attentive and gentle.
Anastasia Yermakova
Anastasia Yermakova
15:05 29 Mar 25
Excellent practice. I have been a patient for over 15 years. I must praise Jinan Faraday, in particular. She is is an excellent 5 star Dental Hygienist. She does an excellent job and always gives valuable advice.
Adrian “Arealist767”
Adrian “Arealist767”
15:33 21 Mar 25
I highly recommend this dental practice. The dentists and hygienist are very professional, caring and make you feel at ease.Neelam Mistry on reception always welcomes you with a lovely smile !
Philip O
Philip O
13:29 19 Apr 25
I had a fantastic experience at Thayer Street Dental Centre. From the moment I walked in, the front desk staff was friendly, welcoming, and efficient. The office is clean, modern, and comfortable, which immediately put me at ease. Dr. Jonathan Wu was incredibly professional and took the time to explain everything clearly, making sure I felt informed and relaxed throughout my visit. It’s rare to actually look forward to going to the dentist, but this team truly makes it a great experience. Highly recommended!
Sandra Navarro
Sandra Navarro
14:41 07 May 25
I would like to leave a special review for Jinan Faraday, dental hygienist. Jinan is a truly magical being! She is so calming and kind, and has this truly soothing effect… not what one usually feels when coming out of the dentist ! But Thayer Street have been amazing and this is coming from someone who truly loathes anything to do with teeth. And gets very anxious. So thank you. & additionally, shout out to all the ladies at the surgery reception too, you are always so sweet to me and just generally beautiful people.
Nell Walker
Nell Walker
14:19 16 May 25
Agni the Hygienist did a wonderful job.Very thorough and professional explaining everything to me in a thoughtful and comprehensive way.The best session I have ever had actually.I highly recommend this dental practice as everyone is exemplary!Many thanks.Nigel
Nigel Bairstow
Nigel Bairstow
11:34 23 May 25
I have been going to Thayer Street Dental and to see Dr Sunnocks for about 15 years now - he’s gentle, kind, never does unnecessary proceeders and makes you genuinely want to visit the dentist! I even got a couple of dodgy root canals redone and it was as pleasant as it’s possible for a root canal to be!Furthermore the hygienists are all lovely and the admin staff are brilliant. I would particularly call out Neelam who is super helpful and sweet and has sorted out various admin pieces for me seamlessly and just been a total asset to the company. I can’t really fault anyone I’ve dealt with there!
R MD
R MD
06:04 13 Jun 25
My family and I are long-time clients of Thayer Street, cannot rate them high enough. My latest experience was A* as they accommodated my multiple schedule changes and then Peyman our wonderful dentist proceeded to squeeze in a hygienist-clean despite my missing the original appointment. The friendly staff, dentists, orthodontists, etc and amazing reception are superb. Highly recommend!
January Carmalt
January Carmalt
08:35 23 Jun 25
I have been a patient for the last 15 years, I have always received the best treatments available and given the right advices for long term dental health.The reception is very helpul, doing their best to offer you an appointment when you have an urgent need, the follow up is first class.It is well worth spending the extra money for such a good service, the dentist will always help you to keep the cost down and carefully explain the treatment and tell you what is necessary to be addressed.Thank you.
Eric Deren
Eric Deren
19:01 26 Jun 25
I first went to Thayer Street Dental in 2008, and haven’t looked back. Tim helped me deal with a sensitive dental issue with immense care, skill and professionalism. Now I see both Tim and Jinan twice a year - they are the perfect dental dream team.
Kate McFerran
Kate McFerran
16:00 12 Aug 25
I have been going to this dental surgery for 2 years now and am always very happy with the service. The hygienists are thorough, the receptionists are polite and helpful (especially Neelam), and my go-to dentist (Yulinda Jong) is excellent all round. The site is clean and the staff make every effort to make you feel comfortable.
Jessica Duong
Jessica Duong
13:01 27 Jun 25
I had the pleasure of visiting Agnieszka again for my hygiene clean, and as always, she was absolutely amazing. She is the perfect combination of professionalism and kindness – everything is explained clearly, the treatment is done with such care, and she makes the whole experience as comfortable as possible. Not only is she incredibly thorough and skilled, but she’s also so sweet and genuinely caring, which makes such a difference when visiting the dentist. I always leave feeling well looked after and grateful to be in such capable hands. Highly recommend her to anyone looking for excellent dental care!
Varun Verma
Varun Verma
16:20 31 Aug 25
I am in the middle of a rather intrusive procedure and I am extremely satisfied with the professionalism, quality of work, and communication of the team. Neelam has been going the extra mile to accomodate my busy schedule, always with a smile, and I am really grateful! I highly recommend the practice.
Vincent Laurencin
Vincent Laurencin
14:07 30 Sep 25
My first time at the Thayer Dental Centre, the reception was very friendly. Agnieszka Lamb is by far the best hygienist I have seen, her care, consideration and attention to detail far exceeded my expectations. I shall be visiting again and highly recommend her services.
Michaela
Michaela
12:54 24 Oct 25
Amazing service!I had my hygienist appointment with Jinan, and she did a stellar job. The cleaning was quick and painless, and she gave me great advice on maintaining healthy teeth.Highly recommend!
Sonia Valieva
Sonia Valieva
11:39 22 Nov 25
Google Rating
Location - Dr Peyman

Reading

DrBK Clinic115 Queen’s RoadBerkshire, RG1 4DA

Read More
Location - Dr Peyman

Sevenoaks

Pearl Dental Care6 Argyle RoadSevenoaks, TN13 1HJ

Read More
Location - Dr Peyman

London

Thayer Street Dental12 Thayer StreetLondon, W1U 3JP

Read More
Location - Dr Peyman

Reading

DrBK Clinic115 Queen’s RoadBerkshire, RG1 4DA

Read More
Location - Dr Peyman

Sevenoaks

Pearl Dental Care6 Argyle RoadSevenoaks, TN13 1HJ

Read More
Location - Dr Peyman

London

Thayer Street Dental12 Thayer StreetLondon, W1U 3JP

Read More
left brush stroke gold plain shape
right brush stroke gold plain shape